(PDF) PARENQUIMATOSA RENAL HISTOLÓGICO scielo.br · que o grau de severidade da lesão

Esse acúmulo ocorre quando a quantidade de gordura que entra ou é produzida no fígado excede a quantidade que pode ser metabolizada ou removida. É um distúrbio multifatorial influenciado por uma combinação de fatores genéticos, metabólicos e ambientais.
(PDF) Análise quantitativa da ecogenicidade testicular pela DOKUMEN.TIPS

em todos os 33 casos foi a presença do AH associado ao aumento difuso da espessura e da ecogenicidade do tecido celular sub-cutâneo circunjacente, de aspecto ultrassonográfico semelhante a uma paniculite difusa, mal definida, em correspondência à área em que se evidencia clinicamente o edema (Figura 2). Não
Total 50+ imagen signo del halo ecografia Viaterra.mx
Considerando as características ecográficas do parênquima hepático, o diagnóstico da EH é baseado no aumento gradativo da ecogenicidade e da atenuação do feixe sonoro, sendo que, quando presentes, as alterações texturais são discretas e de menor relevância.
Dr. Eduardo Ramos

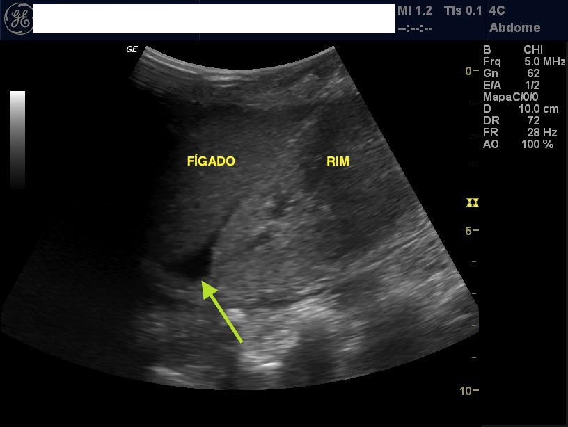
As alterações do fígado observadas pela ecografia foram: ecos finos do parênquima hepático com visualização normal do diafragma e de vasos intra-hepáticos; aumento difuso nos ecos finos com visualização prejudicada dos vasos intra-hepáticos e diafragma; e aumento importante dos ecos finos com visualização prejudicada ou ausente dos.
Caso A. Corte tomográfico revela aumento difuso da densidade pulmonar... Download Scientific

Resumos. No presente estudo foi analisado o parênquima hepático com características homogêneas e ecogenicidade difusa reduzida (G1), aumentada (G2) e normal (G3), em relação ao perfil dos animais, dimensão do fígado e achado bioquímico e hematológico.
Radiologia Pediátrica NEFROPATIA PARENQUIMATOSA AGUDA

Resumos. OBJETIVO: Este estudo foi planejado para avaliar a correlação da ecografia do rim com as lesões histológicas e com os achados clínico-laboratoriais na doença parenquimatosa renal, por análise de regressão logística multivariada. MÉTODOS: Os dados clínicos, laboratoriais, ecográficos e as biópsias foram avaliados em 154 pacientes.
2. Xilema Fibras e Parênquima Axial e Radial 2/5 YouTube

Pessoas com obesidade, sedentárias e que fazem consumo de álcool, regular ou não, têm mais tendências para desenvolvimento da Esteatose Hepática. Outros fatores de risco para a Esteatose hepática são:. Síndrome do ovário policístico;. Hipotireoidismo;. Síndrome metabólica;. Apneia do sono;. Diabetes tipo 2;. Pressão.
Radiologia Brasileira Importância da ecogenicidade da tireóide no diagnóstico da tireoidite

Referências. Ecogenicidade é um termo usado em radiologia para descrever o quanto um material ( tecido, órgão, líquido etc.) permite a passagem ou reflete as ondas de ultrassom (US), comparativamente a outros tecidos e órgãos próximos. [ 1] .
Dharmadhannya A discreta gordura do fígado e esteatose hepática

Unesp - Faculdade de Ciências Agrárias e Veterinárias - Câmpus de.
Protrusão discal (abaulamento discal) causas, sintomas e tratamento Clínica Dr. Hong Jin Pai

A hepatomegalia é quando o fígado está aumentado, o que pode estar relacionada a gordura no fígado ou doenças como hepatite, cirrose ou tumores, sendo importante consultar um médico para iniciar o tratamento mais apropriado. Entenda melhor o que é a hepatomegalia, suas causas, sintomas e.
(PDF) Importância da ecogenicidade da tireóide no diagnóstico da tireoidite crônica autoimune
Além disso, o aumento do fígado pode detectado no exame físico realizado pelo médico, ou ainda por métodos de imagem, como a ultrassonografia de abdômen, tomografia ou ressonância magnética. Também pode haver suspeita de esteatose quando o paciente apresenta obesidade central (aumento do diâmetro da cintura em relação ao quadril).
Radiografia do pé direito. Aumento do volume e da densidade das partes... Download Scientific

Entre todos, porém, o exame mais importante para diagnóstico da enfermidade é a elastografia transitória, um método não invasivo e indolor que mede a elasticidade do tecido hepático e a quantidade de gordura acumulada no fígado.
Esteatosis hepática focal multinodular

Grau 1 (leve): há um leve acúmulo de gordura no fígado, o que, de forma geral, corresponde ao acometimento de cerca de 30% da células do fígado; Grau 2 (moderada): há acúmulo moderado de gordura, de forma que até 60% das células do fígado estão afetadas; Grau 3 (grave): há um grande acúmulo de gordura no fígado.
INFILTRAÇÃO ESTEATÓSICA HEPÁTICA PADRÕES DE … · (mínimo aumento difuso da eco genicidade he

O fígado esteatósico apresenta-se ecograficamente com aumento da ecogenicidade do parênquima atenuando a penetração do feixe ultrassónico. Na tomografia computorizada sem contraste, o fígado esteatósico apresenta valores de densidade inferiores a 40 UH.
Mujer de 22 años en tercer mes de período de lactancia. Aumento difuso... Download Scientific

O que é Ecogenicidade aumentada no fígado? Aumento difuso e homogêneo da ecogenicidade hepática,encontrado em doenças de depósito (das quais a esteatose é a mais frequente-grau severo). Caro, os dois achados ecográficos são compatíveis com o acúmulo de gordura no fígado, ou seja esteatose hepática. O que significa.
Caso A. Corte tomográfico revela aumento difuso da densidade pulmonar... Download Scientific

A ecogenicidade da derme é variável com a idade, encontrando se hipoecogênica em neonatos, discreto aumento da ecogenicidade com alguns meses de vida e acentuado aumento com a idade adulta. Nos idosos, devido principalmente da exposição à luz solar, observa se o aparecimento de uma camada mais hipoecogênica na derme superficial.
.